I was skeptical at first, but this product exceeded my expectations. Within weeks, my tooth sensitivity reduced significantly. My mouth feels fresher in the mornings, and I can tell my oral hygiene has improved overall. It’s easy to use, and has become part of my daily routine. Honestly, it’s the best investment I’ve made for my teeth and gums in years.
" Wilson."
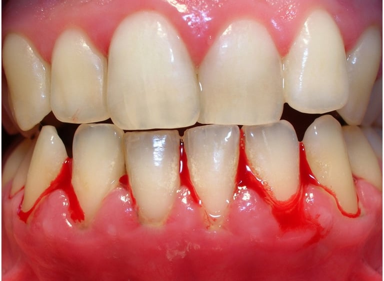
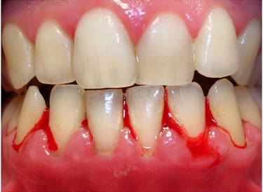
I’ve struggled with sensitive teeth and occasional gum bleeding for years, and nothing seemed to work. After trying this oral health solution for a few weeks, I can honestly say the difference is incredible. My gums feel healthier, my breath is fresher throughout the day, and even my dentist noticed the improvement at my last checkup. I feel more confident smiling now because my teeth looks cleaner. Highly recommend it for anyone serious about long-term oral health!
" Emily."


Your smile is your logo, your personality is your business card, and how you leave others feeling after an experience with you becomes your trademark.
"Jay Denzie."




















